Dental Topics
GENERAL TOPICS:
- What is a Pediatric Dentist?
- Why are the Primary Teeth so Important?
- Eruption of Your Child's Teeth
- DENTAL EMERGENCIES
- Dental Radiographs (X-rays)
- What's the Best Toothpaste for my Child?
- Does Your Child Grind His Teeth at Night? (Bruxism)
- Thumb Sucking
- What is Pulp Therapy?
- What is the Best Time for Orthodontic Treatment?
- Adult Teeth Coming in Behind Baby Teeth
EARLY INFANT ORAL CARE:
PREVENTION:
- Care of Your Child's Teeth
- Good Diet = Healthy Teeth
- How Do I Prevent Cavities?
- Seal Out Decay
- Fluoride
- Mouth Guards
- Xylitol - Reducing Cavities
- Beware of Sports Drinks
ADOLESCENT DENTISTRY:
For more information concerning pediatric dentistry, please visit the website for the American Academy of Pediatric Dentistry.
General Topics
What Is A Pediatric Dentist?
The pediatric dentist has an extra two to three years of specialized training after dental school, and is dedicated to the oral health of children from infancy through the teenage years. The very young, pre-teens, and teenagers all need different approaches in dealing with their behavior, guiding their dental growth and development, and helping them avoid future dental problems. The pediatric dentist is best qualified to meet these needs.
Why Are The Primary Teeth Important?
It is very important to maintain the health of the primary teeth. Neglected cavities can and frequently do lead to problems which affect developing permanent teeth. Primary teeth, or baby teeth are important for (1) proper chewing and eating, (2) providing space for the permanent teeth and guiding them into the correct position, and (3) permitting normal development of the jaw bones and muscles. Primary teeth also affect the development of speech and add to an attractive appearance. While the front 4 teeth last until 6-7 years of age, the back teeth (cuspids and molars) aren’t replaced until age 10-13.
Eruption Of Your Child's Teeth
Children’s teeth begin forming before birth. As early as 4 months, the first primary (or baby) teeth to erupt through the gums are the lower central incisors, followed closely by the upper central incisors. Although all 20 primary teeth usually appear by age 3, the pace and order of their eruption varies.
Permanent teeth begin appearing around age 6, starting with the first molars and lower central incisors. This process continues until approximately age 21.
Adults have 28 permanent teeth, or up to 32 including the third molars (or wisdom teeth).
Dental Emergencies
Toothache:
Clean the area of the affected tooth. Rinse the mouth thoroughly with
warm water or use dental floss to dislodge any food that may be
impacted. If the pain still exists, contact your child's dentist. Do
not place aspirin or heat on the gum or on the aching tooth. If the
face is swollen, apply cold compresses and contact your dentist
immediately.
Cut or Bitten Tongue, Lip or Cheek: Apply ice to injured areas to help control swelling. If there is bleeding, apply firm but gentle pressure with a gauze or cloth. If bleeding cannot be controlled by simple pressure, call a doctor or visit the hospital emergency room.
Knocked Out Permanent Tooth: If possible, find the tooth. Handle it by the crown, not by the root. You may rinse the tooth with water only. DO NOT clean with soap, scrub or handle the tooth unnecessarily. Inspect the tooth for fractures. If it is sound, try to reinsert it in the socket. Have the patient hold the tooth in place by biting on a gauze or clean cloth. If you cannot reinsert the tooth, transport the tooth in a cup containing the patient’s saliva or milk, NOT water. If the patient is old enough, the tooth may also be carried in the patient’s mouth (beside the cheek). The patient must see a dentist IMMEDIATELY! Time is a critical factor in saving the tooth.
Knocked Out Baby Tooth: Contact your pediatric dentist. Unlike with a permanent tooth, the baby tooth should not be replanted due to possible damage to the developing permanent tooth. In most cases, no treatment is necessary.
Chipped/Fractured Permanent Tooth: Time is a critical factor, contact your pediatric dentist immediately so as to reduce the chance for infection or the need for extensive dental treatment in the future. Rinse the mouth with water and apply a cold compress to reduce swelling. If you can find the broken tooth piece, bring it with you to the dentist.
Chipped/Fractured Baby Tooth: Contact your pediatric dentist.
Severe Blow to the Head: Call 911 immediately or ake your child to the nearest hospital emergency room.
Possible Broken or Fractured Jaw: Keep the jaw from moving and take your child to the nearest hospital emergency room.
Read more about how to prevent dental emergencies during recreational activities and sports with mouth guards.
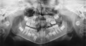
Dental Radiographs (X-Rays)
Radiographs (X-Rays) are a vital and necessary part of your child’s dental diagnostic process. Without them, certain dental conditions can and will be missed.

Radiographs detect much more than cavities. For example, radiographs may be needed to survey erupting teeth, diagnose bone diseases, evaluate the results of an injury, or plan orthodontic treatment. Radiographs allow dentists to diagnose and treat health conditions that cannot be detected during a clinical examination. If dental problems are found and treated early, dental care is more comfortable for your child and more affordable for you.
The American Academy of Pediatric Dentistry recommends radiographs and examinations every six months for children with a high risk of tooth decay. On average, most pediatric dentists request radiographs approximately once a year. Approximately every 3 years, it is a good idea to obtain a complete set of radiographs, either a panoramic and bitewings or periapicals and bitewings.
Pediatric dentists are particularly careful to minimize the exposure of their patients to radiation. With contemporary safeguards, the amount of radiation received in a dental X-ray examination is extremely small. The risk is negligible. In fact, the dental radiographs represent a far smaller risk than an undetected and untreated dental problem. Lead body aprons and shields will protect your child. Today’s equipment filters out unnecessary x-rays and restricts the x-ray beam to the area of interest. High-speed film and proper shielding assure that your child receives a minimal amount of radiation exposure.
What's The Best Toothpaste For My Child?
Tooth
brushing is one of the most important tasks for good oral health. Many
toothpastes, and/or tooth polishes, however, can damage young smiles.
They contain harsh abrasives, which can wear away young tooth enamel.
When looking for a toothpaste for your child, make sure to pick one
that is recommended by the American Dental Association as shown on the
box and tube. These toothpastes have undergone testing to insure they
are safe to use.
Use only a smear of toothpaste (the size of a grain of rice) to brush the teeth of a child less than 3 years of age. For children 3 to 6 years old, use a "pea-size" amount of toothpaste and perform or assist your child’s toothbrushing. Remember that young children do not have the ability to brush their teeth effectively on their own. Children should spit out and not swallow excess toothpaste after brushing
Does Your Child Grind His Teeth At Night? (Bruxism)
Parents are often concerned about the nocturnal grinding of teeth (bruxism). Often, the first indication is the noise created by the child grinding on their teeth during sleep. Or, the parent may notice wear (teeth getting shorter) to the dentition. One theory as to the cause involves a psychological component. Stress due to a new environment, divorce, changes at school; etc. can influence a child to grind their teeth. Another theory relates to pressure in the inner ear at night. If there are pressure changes (like in an airplane during take-off and landing, when people are chewing gum, etc. to equalize pressure) the child will grind by moving his jaw to relieve this pressure.
The majority of cases of pediatric bruxism do not require any treatment. If excessive wear of the teeth (attrition) is present, then a mouth guard (night guard) may be indicated. The negatives to a mouth guard are the possibility of choking if the appliance becomes dislodged during sleep and it may interfere with growth of the jaws. The positive is obvious by preventing wear to the primary dentition.
The good news is most children outgrow bruxism. The grinding decreases between the ages 6-9 and children tend to stop grinding between ages 9-12. If you suspect bruxism, discuss this with your pediatrician or pediatric dentist.
Thumb Sucking
Sucking
is a natural reflex and infants and young children may use thumbs,
fingers, pacifiers and other objects on which to suck. It may make
them feel secure and happy, or provide a sense of security at
difficult periods. Since thumb sucking is relaxing, it may induce
sleep.
Thumb sucking that persists beyond the eruption of the permanent teeth can cause problems with the proper growth of the mouth and tooth alignment. How intensely a child sucks on fingers or thumbs will determine whether or not dental problems may result. Children who rest their thumbs passively in their mouths are less likely to have difficulty than those who vigorously suck their thumbs.
Children should cease thumb sucking by the time their permanent front teeth are ready to erupt. Usually, children stop between the ages of two and four. Peer pressure causes many school-aged children to stop.
Pacifiers are no substitute for thumb sucking. They can affect the teeth essentially the same way as sucking fingers and thumbs. However, use of the pacifier can be controlled and modified more easily than the thumb or finger habit. If you have concerns about thumb sucking or use of a pacifier, consult your pediatric dentist.
A few suggestions to help your child get through thumb sucking:
- Children often suck their thumbs when feeling insecure. Focus on correcting the cause of anxiety, instead of the thumb sucking.
- Children who are sucking for comfort will feel less of a need when their parents provide comfort.
- Reward children when they refrain from sucking during difficult periods, such as when being separated from their parents.
- Your pediatric dentist can encourage children to stop sucking and explain what could happen if they continue.
- If these approaches don’t work, remind the children of their habit by bandaging the thumb or putting a sock on the hand at night. Your pediatric dentist may recommend the use of a mouth appliance.
What Is Pulp Therapy?
The pulp of a tooth is the inner, central core of the tooth. The pulp contains nerves, blood vessels, connective tissue and reparative cells. The purpose of pulp therapy in Pediatric Dentistry is to maintain the vitality of the affected tooth (so the tooth is not lost).
Dental caries (cavities) and traumatic injury are the main reasons for a tooth to require pulp therapy. Pulp therapy is often referred to as a "nerve treatment", "children's root canal", "pulpectomy" or "pulpotomy". The two common forms of pulp therapy in children's teeth are the pulpotomy and pulpectomy.
A pulpotomy removes the diseased pulp tissue within the crown portion of the tooth. Next, an agent is placed to prevent bacterial growth and to calm the remaining nerve tissue. This is followed by a final restoration (usually a stainless steel crown).
A pulpectomy is required when the entire pulp is involved (into the root canal(s) of the tooth). During this treatment, the diseased pulp tissue is completely removed from both the crown and root. The canals are cleansed, disinfected and, in the case of primary teeth, filled with a resorbable material. Then, a final restoration is placed. A permanent tooth would be filled with a non-resorbing material.
What Is The Best Time For Orthodontic Treatment?
Developing
malocclusions, or bad bites, can be recognized as early as 2-3 years
of age. Often, early steps can be taken to reduce the need for major
orthodontic treatment at a later age.
Stage I – Early Treatment: This period of treatment encompasses ages 2 to 6 years. At this young age, we are concerned with underdeveloped dental arches, the premature loss of primary teeth, and harmful habits such as finger or thumb sucking. Treatment initiated in this stage of development is often very successful and many times, though not always, can eliminate the need for future orthodontic/orthopedic treatment.
Stage II – Mixed Dentition: This period covers the ages of 6 to 12 years, with the eruption of the permanent incisor (front) teeth and 6 year molars. Treatment concerns deal with jaw malrelationships and dental realignment problems. This is an excellent stage to start treatment, when indicated, as your child’s hard and soft tissues are usually very responsive to orthodontic or orthopedic forces.
Stage III – Adolescent Dentition: This stage deals with the permanent teeth and the development of the final bite relationship.
Adult Teeth Coming in Behind Baby Teeth
This is a very common occurrence with children, usually the
result of a lower, primary (baby) tooth not falling out when the
permanent tooth is coming in. In most cases if the child starts
wiggling the baby tooth, it will usually fall out on its own within
two months. If it doesn't, then contact your pediatric dentist, where
they can easily remove the tooth. The permanent tooth should
then slide into the proper place.
Early Infant Oral Care
Perinatal & Infant Oral Health
The
American Academy of Pediatric Dentistry (AAPD) recommends that all
pregnant women receive oral healthcare and counseling during
pregnancy. Research has shown evidence that periodontal disease can
increase the risk of preterm birth and low birth weight. Talk to your
doctor or dentist about ways you can prevent periodontal disease
during pregnancy.
Additionally, mothers with poor oral health may be at a greater risk of passing the bacteria which causes cavities to their young children. Mother's should follow these simple steps to decrease the risk of spreading cavity-causing bacteria:
- Visit your dentist regularly.
- Brush and floss on a daily basis to reduce bacterial plaque.
- Proper diet, with the reduction of beverages and foods high in sugar & starch.
- Use a fluoridated toothpaste recommended by the ADA and rinse every night with an alocohol-free, over-the-counter mouth rinse with .05 % sodium fluoride in order to reduce plaque levels.
- Don't share utensils, cups or food which can cause the transmission of cavity-causing bacteria to your children.
- Use of xylitol chewing gum (4 pieces per day by the mother) can decrease a child’s caries rate.
Your Child's First Dental Visit-Establishing A "Dental Home"
The American Academy of Pediatrics (AAP), the American Dental Association (ADA), and the American Academy of Pediatric Dentistry (AAPD) all recommend establishing a "Dental Home" for your child by one year of age. Children who have a dental home are more likely to receive appropriate preventive and routine oral health care.
The Dental Home is intended to provide a place other than the Emergency Room for parents.
You can make the first visit to the dentist enjoyable and positive. If old enough, your child should be informed of the visit and told that the dentist and their staff will explain all procedures and answer any questions. The less to-do concerning the visit, the better.
It is best if you refrain from using words around your child that might cause unnecessary fear, such as needle, pull, drill or hurt. Pediatric dental offices make a practice of using words that convey the same message, but are pleasant and non-frightening to the child.
When Will My Baby Start Getting Teeth?
Teething, the process of baby (primary) teeth coming through the
gums into the mouth, is variable among individual babies. Some babies
get their teeth early and some get them late. In general, the first
baby teeth to appear are usually the lower front (anterior) teeth and
they usually begin erupting between the age of 6-8 months.
See
"Eruption of Your Child’s Teeth" for more details.
Baby Bottle Tooth Decay (Early Childhood Caries)
One
serious form of decay among young children is baby bottle tooth decay.
This condition is caused by frequent and long exposures of an infant’s
teeth to liquids that contain sugar. Among these liquids are milk
(including breast milk), formula, fruit juice and other sweetened
drinks.
Putting a baby to bed for a nap or at night with a bottle other than water can cause serious and rapid tooth decay. Sweet liquid pools around the child’s teeth giving plaque bacteria an opportunity to produce acids that attack tooth enamel. If you must give the baby a bottle as a comforter at bedtime, it should contain only water. If your child won't fall asleep without the bottle and its usual beverage, gradually dilute the bottle's contents with water over a period of two to three weeks.
After each feeding, wipe the baby’s gums and teeth with a damp washcloth or gauze pad to remove plaque. The easiest way to do this is to sit down, place the child’s head in your lap or lay the child on a dressing table or the floor. Whatever position you use, be sure you can see into the child’s mouth easily.
Sippy Cups
Sippy cups should be used as a training tool from the bottle to a cup and should be discontinued by the first birthday. If your child uses a sippy cup throughout the day, fill the sippy cup with water only (except at mealtimes). By filling the sippy cup with liquids that contain sugar (including milk, fruit juice, sports drinks, etc.) and allowing a child to drink from it throughout the day, it soaks the child’s teeth in cavity causing bacteria.
Prevention
Care Of Your Child's Teeth
Brushing Tips:
- Starting at birth, clean your child's gums with a soft cloth and water.
- As soon as your child's teeth erupt, brush them with a soft-bristled toothbrush.
- If they are under the age of 2, use a small "smear" of toothpaste.
- If they're 2-5 years old, use a "pea-size" amount of toothpaste.
- Be sure and use an ADA-accepted fluoride toothpaste and make sure your child does not swallow it.
- When brushing, the parent should brush the child's teeth until they are old enough to do a good job on their own.
Flossing Tips:
- Flossing removes plaque between teeth and under the gumline where a toothbrush can't reach.
- Flossing should begin when any two teeth touch.
- Be sure and floss your child's teeth daily until he or she can do it alone.
Good Diet = Healthy Teeth
Healthy
eating habits lead to healthy teeth. Like the rest of the body, the
teeth, bones and the soft tissues of the mouth need a well-balanced
diet. Children should eat a variety of foods from the five major food
groups. Most snacks that children eat can lead to cavity formation.
The more frequently a child snacks, the greater the chance for tooth
decay. How long food remains in the mouth also plays a role. For
example, hard candy and breath mints stay in the mouth a long time,
which cause longer acid attacks on tooth enamel. If your child must
snack, choose nutritious foods such as vegetables, low-fat yogurt, and
low-fat cheese, which are healthier and better for children’s teeth.
How Do I Prevent Cavities?
Good oral hygiene removes bacteria and the left over food particles that combine to create cavities. For infants, use a wet gauze or clean washcloth to wipe the plaque from teeth and gums. Avoid putting your child to bed with a bottle filled with anything other than water. See "Baby Bottle Tooth Decay" for more information.
For older children, brush their teeth at least twice a day. Also, watch the number of snacks containing sugar that you give your children.
The American Academy of Pediatric Dentistry recommends visits every six months to the pediatric dentist, beginning at your child’s first birthday. Routine visits will start your child on a lifetime of good dental health.
Your pediatric dentist may also recommend protective sealants or home fluoride treatments for your child. Sealants can be applied to your child’s molars to prevent decay on hard to clean surfaces.
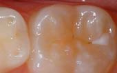
Seal Out Decay
A sealant is a protective coating that is applied to the chewing surfaces (grooves) of the back teeth (premolars and molars), where four out of five cavities in children are found. This sealant acts as a barrier to food, plaque and acid, thus protecting the decay-prone areas of the teeth.
|
|
|
Fluoride
Fluoride is a naturally occurring element, which has shown to prevent tooth decay by as much as 50-70%, Despite the advantages, too little or too much fluoride can be detrimental to the teeth. With little or no fluoride, the teeth aren’t strengthened to help them resist cavities. Excessive fluoride ingestion by young children can lead to dental fluorosis, which is typically a chalky white discoloration (brown in advanced cases) of the permanent teeth. Be sure to follow your pediatric dentist’s instructions on suggested fluoride use and possible supplements, if needed.
You can help by using a fluoride toothpaste and only a smear of toothpaste (the size of a grain of rice) to brush the teeth of a child less than 3 years of age. For children 3 to 6 years old, use a "pea-size" amount of toothpaste and perform or assist your child’s toothbrushing. Remember that young children do not have the ability to brush their teeth effectively on their own. Children should spit out and not swallow excess toothpaste after brushing, in order to avoid fluorosis.
Mouth Guards
When
a child begins to participate in recreational activities and organized
sports, injuries can occur. A properly fitted mouth guard, or mouth
protector, is an important piece of athletic gear that can help
protect your child’s smile, and should be used during any activity
that could result in a blow to the face or mouth.
Mouth guards help prevent broken teeth, and injuries to the lips, tongue, face or jaw. A properly fitted mouth guard will stay in place while your child is wearing it, making it easy for them to talk and breathe.
Ask your pediatric dentist about custom and store-bought mouth protectors.
Xylitol - Reducing Cavities
The American Academy of Pediatric Dentistry (AAPD) recognizes the benefits of xylitol on the oral health of infants, children, adolescents, and persons with special health care needs.
The use of XYLITOL GUM by mothers (2-3 times per day) starting 3 months after delivery and until the child was 2 years old, has proven to reduce cavities up to 70% by the time the child was 5 years old.
Studies using xylitol as either a sugar substitute or a small dietary addition have demonstrated a dramatic reduction in new tooth decay, along with some reversal of existing dental caries. Xylitol provides additional protection that enhances all existing prevention methods. This xylitol effect is long-lasting and possibly permanent. Low decay rates persist even years after the trials have been completed.
Xylitol is widely distributed throughout nature in small amounts. Some of the best sources are fruits, berries, mushrooms, lettuce, hardwoods, and corn cobs. One cup of raspberries contains less than one gram of xylitol.
Studies suggest xylitol intake that consistently produces positive results ranged from 4-20 grams per day, divided into 3-7 consumption periods. Higher results did not result in greater reduction and may lead to diminishing results. Similarly, consumption frequency of less than 3 times per day showed no effect.
To find gum or other products containing xylitol, try visiting your local health food store or search the Internet to find products containing 100% xylitol.
Beware of Sports Drinks
Due
to the high sugar content and acids in sports drinks, they have
erosive potential and the ability to dissolve even fluoride-rich
enamel, which can lead to cavities.
To minimize dental problems, children should avoid sports drinks and hydrate with water before, during and after sports. Be sure to talk to your pediatric dentist before using sports drinks.
If sports drinks are consumed:
- reduce the frequency and contact time
- swallow immediately and do not swish them around the mouth
- neutralize the effect of sports drinks by alternating sips of water with the drink
- rinse mouthguards only in water
- seek out dentally friendly sports drinks
Adolescent Dentistry

Tongue Piercing - Is It Really Cool?
You might not be surprised anymore to see people with pierced tongues, lips or cheeks, but you might be surprised to know just how dangerous these piercings can be.
There are many risks involved with oral piercings, including chipped or cracked teeth, blood clots, blood poisoning, heart infections, brain abscess, nerve disorders (trigeminal neuralgia), receding gums or scar tissue. Your mouth contains millions of bacteria, and infection is a common complication of oral piercing. Your tongue could swell large enough to close off your airway!
Common symptoms after piercing include pain, swelling, infection, an increased flow of saliva and injuries to gum tissue. Difficult-to-control bleeding or nerve damage can result if a blood vessel or nerve bundle is in the path of the needle.
So follow the advice of the American Dental Association and give your mouth a break – skip the mouth jewelry.
Tobacco - Bad News In Any Form
Tobacco in any form can jeopardize your child’s health and cause incurable damage. Teach your child about the dangers of tobacco.
Smokeless tobacco, also called spit, chew or snuff, is often used by teens who believe that it is a safe alternative to smoking cigarettes. This is an unfortunate misconception. Studies show that spit tobacco may be more addictive than smoking cigarettes and may be more difficult to quit. Teens who use it may be interested to know that one can of snuff per day delivers as much nicotine as 60 cigarettes. In as little as three to four months, smokeless tobacco use can cause periodontal disease and produce pre-cancerous lesions called leukoplakias.
If your child is a tobacco user you should watch for the following that could be early signs of oral cancer:
- A sore that won’t heal.
- White or red leathery patches on the lips, and on or under the tongue.
- Pain, tenderness or numbness anywhere in the mouth or lips.
- Difficulty chewing, swallowing, speaking or moving the jaw or tongue; or a change in the way the teeth fit together.
Because the early signs of oral cancer usually are not painful, people often ignore them. If it’s not caught in the early stages, oral cancer can require extensive, sometimes disfiguring, surgery. Even worse, it can kill.
Help your child avoid tobacco in any form. By doing so, they will avoid bringing cancer-causing chemicals in direct contact with their tongue, gums and cheek.


